Bleiben Sie aktuell

Blog von Pearl Technology

Pädiatrische MRT: Wenn Standardprotokolle an ihre Grenzen stoßen

Datum 16. April 2026
In der pädiatrischen MRT sind Risiken unsichtbar – und genau das macht sie so relevant für die Sicherheit. Gerade bei Kindern stoßen Standardprotokolle an ihre Grenzen. Was es stattdessen braucht: ...
Jetzt lesen

Von Graustufen zu Daten: Wie die quantitative MRT die Neuroradiologie neu definiert

Datum 31. März 2026
Autor: Christos Tsiotsios, MSc. — MRT Instruktor & Spezialist Die medizinische Bildgebung befindet sich in einem grundlegenden Wandel. Über Jahrzehnte hinweg basierte die Radiologie primär auf ...
Jetzt lesen

Wie sich der Arbeitsalltag verändert – Teamreaktionen und praktische Learnings nach 4 Monaten Photon-Counting-CT

Datum 16. Dezember 2025
Die Einführung eines Photon-Counting-CTs bedeutet nicht nur ein technologisches Upgrade – sondern einen echten Wandel im radiologischen Alltag.
Jetzt lesen

RADIOLOGIE: TREFFPUNKT DER INFEKTIONEN

Datum 21. Oktober 2025
Tipps zur Reduzierung von MRSA und anderen Krankenhausinfektionen Radiologien sind zentrale Knotenpunkte innerhalb von Krankenhäusern und versorgen sowohl infizierte als auch nicht infizierte ...
Jetzt lesen

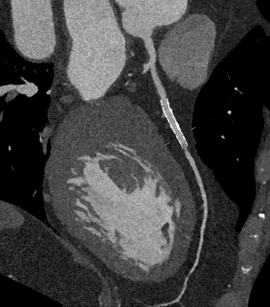
Kardio-CT: Tipps für eine erfolgreiche Herzbildgebung und häufige Fehler, die Sie vermeiden sollten – unabhängig an welchem System

Datum 15. Oktober 2025
Von Katrin Hägele – Ihre Expertin für moderne Bildgebungssysteme
Jetzt lesen

Für ein besseres MRT-Erlebnis: Esaote und Pearl Technology in Kooperation

Datum 29. September 2025
Luca Bartalini, MSc – Specialist MRI Consultant Inhalt Die Herausforderung: Angst im MRT Offenes MRT: Esaotes patientenzentrierter Ansatz Komfort und Bildqualität – beides ist möglich Wie die ...
Jetzt lesen

Was tun, wenn die Lagerung schwierig wird? Relevante Tipps im MRT

Datum 28. Juli 2025
Eine gute Lagerung ist einer der unterschätzten Faktoren bei der Magnetresonanztomographie (MRT). Je entspannter und besser positioniert ein Patient liegt, desto ruhiger bleibt er, atmet ...
Jetzt lesen

Schwierige Patientenlagerung im CT – Tipps und Inspirationen

Datum 30. Juni 2025
In der Computertomografie (CT) zählen Zeit, Bildqualität und Patientensicherheit zu den entscheidenden Faktoren. Doch viele unterschätzen dabei einen zentralen Aspekt: die richtige Lagerung. Gerade ...
Jetzt lesen

Sedierungsfreie pädiatrische MRT - Optimierung der MSK und Neuro Bildgebung

Datum 13. Mai 2025
Bac Nguyen Am Universitätsspital Oslo sind wir auf die Bildgebung der vielleicht sensibelsten und technisch anspruchsvollsten Patienten spezialisiert: Kinder. Die pädiatrische MRT ist nicht nur eine ...
Jetzt lesen

Schulter Röntgen – Ein Gelenk, viele Möglichkeiten

Datum 16. April 2025
Die Schulter ist eines der beweglichsten und komplexesten Gelenke des menschlichen Körpers. Doch nicht nur anatomisch ist sie vielseitig – auch in der Röntgendiagnostik gibt es zahlreiche ...
Jetzt lesen