Die Einstellung der Schulter erfordert eine genaue Einstelltechnik, um die Darstellungskriterien zu erreichen. Besondere Präzision bedarf es, wenn der Patient liegend geröntgt werden muss. Bei Verletzung der Schulter durch einen Unfall kommt es häufiger vor, dass Patienten nicht sitzen oder stehen können. Um trotzdem ein sehr gutes Ergebnis zu erreichen, bedarf es einen bewussten Umgang mit den Lagerungsmitteln. Richtig eingesetzt, ist die Aussagekraft der Schulter Aufnahme im Liegen mit der stehenden Variante durchaus vergleichbar.
Im Folgenden werden einige Tipps mit Hintergründen und Hinweisen zur adäquaten Lagerung mit dem 45 ° Keil gegeben.
Auf die Härte kommt es an
Welche Kriterien sollen große 45 ° Keile erfüllen? Ist es so, dass ein zu weicher Keil es nicht schafft, den Patienten in der erforderlichen Position zu halten? In einem Test wurden zwei unterschiedliche Keile verglichen. Ein herkömmlicher, beschichteter Schaumstoff (hier gelbe Ausführung) und ein ProFoam Wedge 60x25x12 DS der Firma Pearl Technology. Der herkömmliche Schaumstoff (gelb) ist weicher als die ProFoam Lagerungshilfe.
Trotz unterschiedlicher Härtegrade sind beide Keile in der Lage den Probanden (184 cm und 98 kg) für die ap und Y- Aufnahme in Position zu halten. Doch der härtere Keil gibt weniger nach und der Patient sinkt nicht ein. Es ist auch dem Probanden im Vergleich aufgefallen, dass die blauen Keile etwas härter sind und er dadurch fester liegt, aber auch, dass der blaue Keil minimal mehr auf dem Detektor rutscht als der Gelbe. Durch einen Sandsack wird dies jedoch leicht verhindert.
Die Bilder unten zeigen, dass in der AP Aufnahme der Proband auf dem gelben Keil etwas einsinkt. Auf dem blauen Keil sinkt der Patient gar nicht ein, was die Aufnahme ideal gelingen lässt.
 
   
Bei der Y-Aufnahme ist der Unterschied sogar noch etwas deutlicher. Der gelbe Keil gibt deutlich mehr nach als der blaue ProFoam Wedge 45 ° Keil. Der ProFoam Wedge 45 ° Keil ist hart genug, um den Patienten in der richtigen Position zu halten und aus diesem Grund für diese Einstellung hervorragend geeignet. Die Bilder unten zeigen eine Y Aufnahme ap im Liegen - ein geeigneter "Plan B" wenn Patienten nicht stehen oder sitzen können.
 
  
WichtigER Hinweis der IDEALEN Platzierung VOM 45° Keil
Die ideale Platzierung des 45-Grad-Keils ist wichtig, um auf Röntgenbildern störende Kanten vom Lagerungsmittel zu vermeiden und sicherzustellen, dass die diagnostische Aussagekraft der Summationsaufnahmen nicht durch strichförmige Strukturen beeinträchtigt wird, welche Frakturlinien ähneln könnten.
Im Nachfolgenden werden drei Möglichkeiten zur Platzierung der Lagerungshilfsmittel veranschaulicht und beurteilt.
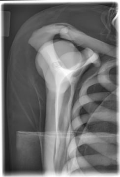
Variante 1 - Fehlerhaft
 
   
   
 
  
Patient liegt stabil, jedoch ist Kante der Lagerungshilfsmittel auf Aufnahme zu erkennen und kann Diagnose beeinträchtigen
Variante 2 - Korrekt
 
   
   
 
  
Patient liegt stabil, Kante der Lagerungshilfsmittel nicht auf Aufnahme zu sehen und somit keine Beeinträchtigung der Bildqualität
Variante 3 - Korrekt
 
   
   
 
  
 
Patient liegt stabil, Kante des Lagerungshilfsmittels nicht auf Aufnahme zu sehen und somit keine Beeinträchtigung der Bildqualität. Positionierung des Aufbelichtungszeichens etwas erschwert.
FAZIT
Die Wahl geeigneter Hilfsmittel hat einen direkten Einfluss auf die Arbeitsabläufe und die Qualität der Untersuchungsergebnisse. Bei der Einstelltechnik der Schulter AP und Y-Aufnahme im Liegen sind härtere Keile zu bevorzugen, da der Patient in der gewünschten 45 °-Position bleibt. Ein Sandsack kann helfen, um die Position zusätzlich zu stabilisieren. Ein gekonnter und bedachter Umgang mit den Lagerungshilfsmitteln stellt sicher, dass keine Kanten auf den Bildern zu sehen sind und sorgt für zufrieden stellende Ergebnisse.
Autorin: Agata Epler, Dozentin Röntgeneinstelltechnik, Team Alles Einstellungssache
